Salud
-

Desarrollan vacuna sublingual que reduce infecciones urinarias recurrentes y el uso de antibióticos
Un estudio revela que la inmunoprofilaxis sublingual es efectiva para prevenir infecciones urinarias recurrentes, disminuir la carga asistencial y…
Leer más » -

Integra datos genéticos, imágenes y registros para personalizar tratamiento
La inteligencia artificial permite integrar múltiples fuentes de información en la investigación médica, como datos genéticos, imágenes médicas y…
Leer más » -

Científicos logran regenerar neuronas dañadas por Parkinson usando exosomas
Por primera vez se plantea la posibilidad no solo de frenar el avance de la enfermedad, sino incluso de…
Leer más » -

Crean método de fertilización in vitro permite madurar óvulos en laboratorio y reduce el uso de hormonas
Esta técnica ofrece un proceso más seguro, rápido y emocionalmente llevadero. Clínicas en Argentina, Perú y Australia ya lo…
Leer más » -

Señales de alerta en la lumbalgia
La lumbalgia o dolor lumbar bajo, representa hoy una de las principales causas de discapacidad a nivel mundial. …
Leer más » -

Temblores, lentitud motora, pérdida de olfato y trastornos del sueño: Posibles síntomas del párkinson
La edad de inicio, los síntomas predominantes, la respuesta al tratamiento y la evolución son distintos en cada paciente. Dr.…
Leer más » -

Complicación infecciosa tras estimulación cerebral profunda en tratamiento en joven con Parkinson juvenil
El paciente usó marihuana como forma de control sintomático en lugar de seguir el tratamiento psicológico recomendado. Gammagrafía del transportador…
Leer más » -

Alcanza la remisión, reduce daño orgánico y mejora supervivencia en pacientes con lupus
El T2T en el lupus eritematoso sistémico es un enfoque terapéutico que busca alcanzar y mantener objetivos clínicos y para…
Leer más » -

Aumento de la enfermedad renal resalta la conexión crítica entre los riñones y el corazón
La detección temprana de la enfermedad renal es fundamental para reducir el riesgo de complicaciones cardiovasculares graves. Dos pruebas clave…
Leer más » -

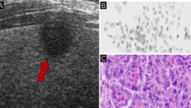
Paciente con antecedentes de cáncer de tiroides desarrolla una segunda neoplasia tiroidea diferente
La segunda neoplasia (CPT) mostró invasión linfovascular, a pesar de su pequeño tamaño (0,6 cm), lo que implica un comportamiento…
Leer más »









